長岡市川西にある堀井スマイル歯科では、むし歯治療、歯周病治療、小児歯科だけではなく、予防歯科やホワイトニング、セラミックスなどの審美歯科、インプラント、矯正歯科、口腔外科など、幅広く対応しています。

  • HOME
  • |歯の矯正治療

歯の矯正

▼下線部をクリックすると、その項目までジャンプします。

歯並びが気になるあなたへ

なぜ矯正治療が必要なのでしょうか?

みなさまは「矯正治療」について、どのようなイメージをお持ちですか?
「費用が高い」「期間が長い」「着けてる装置やワイヤーが目立つ」「痛い」…
また、単純に「歯並びを治す治療」と思われていませんか?
そもそも、歯並びが悪いことにより、どんな不都合が起こるのでしょうか?

なぜ矯正治療が必要なのでしょうか

1.むし歯や歯周病、口臭の原因になりやすい

歯並びが悪いと、歯ブラシの毛先が届きにくく、磨き残しが多くなり、歯石が着いたりするのを経験されたことはないですか?

その磨き残しのために、むし歯や歯周病(歯ぐきが炎症を起こし、赤く腫れる、膿が出る状態)になりやすいと言えます。

噛み合わせが悪いことによりよく噛めないと、唾液の量が減少し、さらにお口の汚れがたまることにより、歯周病が進行して口臭の原因になることもあります。

むし歯や歯周病、口臭の原因になりやすい

2.消化が悪くなる

噛み合わせが悪いと、しっかりと噛めずに、消化されないまま飲み込むことになります。きちんと消化されないまま食事をする生活が続くと、お子様の成長を著しく損ねるだけでなく、大人の方の健康にもつながってきます。

3.発音がしにくい

症状によってはサ行やタ行の発音がはっきりしなくなることがあります。
また、すきっ歯(歯と歯の間に隙間がある)では会話の際に空気が漏れてうまく話せず、仕事やプライベートでも支障があるかもしれません。
そのような状態では、自然に笑顔が出ることは少ないですよね。

4.肩こりや頭痛が起こりやすい

噛み合わせが悪いと、なんとかうまく噛もうとして顎や筋肉に負担がかかり、頭痛や肩こりが起こることがあります。

5.口元が出る、お顔が非対称になる

骨格的な問題と総合的に考えられますが、歯並びが悪いと口元が突出して緊張し、うまくお口を閉じていれらなくなり、見た目を気にされる方が多いです。
また、写真撮影や鏡を見た際に、お顔がどちらかに曲がっているのに気付いて、コンプレックスに感じる方も多いです。

口元が出る
 
お顔が非対称になる

いかがでしょうか?

歯並びが悪いことによって色々な問題点があり、生活していくうえで以上のような弊害が起こりやすくなります。

ですので、矯正治療は、単純に「歯並びをきれいにする」だけではなく、「むし歯や歯周病を防いで健康につながる」「清潔感のある美しい笑顔が自然と生まれることで、自分に自信が持てて、仕事やプライベートでも印象がいい」など、快適に生活していくうえで、非常に大切なことなのです。
 
「笑顔を作りづらくする」というのは、今後の性格形成、ひいては人間形成を左右するような重要な項目です。

笑うことによって、楽しい感情、嬉しい感情が沸き起こります。

それだけ「笑うこと、笑顔」は重要なのです。

しかし、歯並びが気になる方は、どうしても自然と笑顔を作り出すことはできません。
「歯並びが悪いのを人に見られたくないな…」



「人前で笑うと歯並びが悪いのがバレちゃうよ…」



「なるべく人前で笑わないようにしよう…写真も撮りたくないし…人ともあんまりしゃべりたくないな↓」
自分では歯並びのことは気にしていなくても、他人から指摘されてコンプレックスに感じる場合もあります。

このような気持ちの積み重ねによって、表情そのものが暗くなってしまったり、人前での笑顔が不自然になり、会話もしたくなくなったり、必要以上に手を口元にあてて笑うようになる…

このような状況では、みなさまの人生が暗いものになってしまうことは間違いありません。
 
長い人生において、少しの期間を矯正治療に費やすことで笑顔にあふれた生活を送ってみませんか?
 

笑顔にあふれた生活
笑顔にあふれた生活

矯正治療の6つのメリット

1 口元がキレイになる

2 歯みがきがしやすくなるため、むし歯や歯周病に
  対して抵抗力ができる
3 横顔がスッキリ整います
4 大きな口で笑える
  笑う時に手で口を隠さなくなる
5 矯正治療を受けることで、歯ブラシの習慣が身に
  付き、自分の歯を大事にするようになる
6 矯正治療を受けることで、何事にも前向きに
  なり、自分に自信が持てる

矯正治療の6つのメリット

当院で矯正治療を受けた患者様が
「前よりも積極的になった」「前よりも鏡を見る回数が増えたし、お化粧も楽しくなった」「家族の集合写真を撮る回数が増えた」…
 
という感想を言ってくださいました。
 
歯並びがキレイになることで、コンプレックスが解消されて、心までキレイになった例だと思います。

患者様が一人でも多く笑顔になれるように、我々も頑張っていかなければなりません。

当院で矯正治療を行うメリット

1 一般的な治療と並行してできるため効率がいい

当院では一般歯科治療をメインとしておりますので、むし歯や歯周病の治療などを含めて、お口の中全体を総合的に考えて治療に望むことができます。

また、矯正治療だけのご提案だけではなく、歯並びや審美(歯の変色など)を改善するセラミック治療など幅広く患者様に治療方法をご提供することができますので、メリット、デメリットを考えて頂いて治療方法を選んで頂くことが可能です。

当院での矯正治療を行うメリット

2 お子様から大人まで対応しています

歯の矯正というと、お子様や若い方が行うものとのイメージがあるかもしれません。

お子様の場合は、大人の歯に生え変わるタイミング、もしくは大人の歯がすべて生え変わるタイミングで矯正治療を始めることをオススメします。

大人の方は男女年齢を問わず、対応できます。
 
ある40代の既婚女性で、「もう年だし、結婚もしてるから、治さなくてもいいかなと思うけど、歯並びのことが気になる」とお話しされていた患者様がいました。

実際に当院では60代の方でも矯正治療を受けられた方もいますし、成人の患者様で、年齢を理由に「今さら矯正しなくても…」と思われるのは間違いだと思います。

お子様から大人まで対応しています

悪い歯並びを放置することにより、むし歯や歯周病が進行して、抜歯になったりして、将来苦労することにもなりますので、今お悩みの方は早めに矯正治療をご検討頂いたほうが、今後の歯とご自身の健康と、気持ちの安息には重要なことと思われます。

お子様の矯正治療を検討されている親御様には、将来的に自分のお子様が、上記のような悩みを抱えなくてもいいように、最適な年齢で治療を開始することをオススメします。

お子様から大人まで対応しています

3 様々な矯正治療

歯の矯正というと、「費用が高い」「期間が長い」「着けてる装置やワイヤーが目立つ」「痛い」…といったイメージをお持ちではないでしょうか?

矯正治療の王道は全顎矯正(すべての歯に装置を付ける治療)ですが、「もう少し費用を抑えたい」「期間を短くしたい」「白い装置やワイヤーはないの?」といった要望を踏まえて、審美面に配慮した部分矯正も行っております。診断により、適応が限られており、すべての方ができるわけではありませんが、「矯正治療はしたいけど、費用や期間が気になる」「全体ではなく、ある一部分の歯並びが気になる」という方は、全顎矯正よりもリーズナブルな部分矯正も一度考えてみてはいかがでしょうか?

全額矯正
全顎矯正
 
部分矯正
部分矯正
メタルブラケットとクリアブラケットの違い
メタルブラケットとクリアブラケットの違い
クリアブラケットとホワイトワイヤー
クリアブラケットとホワイトワイヤー

4 矯正専門歯科との連携

すべての歯の治療で言えることですが、神経を取る根の治療を例に挙げれば、比較的単純で軽い症状から、複雑で難しい症例など、根の治療を一つとっても幅広くあります。様々な症状から、その治療が適応かどうかを見極めるのに重要なのが「診断力」で、当院ですべての方の矯正治療が可能というわけではありません。

ものすごく前歯が出ている方、かなり顔が長い方、お顔が非対称な方…骨格的な問題を抱えている方は矯正治療+手術の場合もあります。

当院では、矯正専門医院と連携させて頂いておりますので、ご安心して歯並びのご相談にお越しいただければと思います。
当院での治療が難しいと判断される場合は、専門医院にご紹介させて頂きます。

以下のような歯並びの方は、一度ご相談下さい。

▶悪い歯並びの例

出っ歯
出っ歯
 
叢生(叢生)
叢生(叢生)
受け口
受け口
 
開咬
開咬
すきっ歯
すきっ歯
画像はイメージです

矯正治療の流れ

矯正治療の流れと注意点

矯正治療の流れ

1 初診相談

まず初めに矯正治療ができるかどうか(むし歯や歯周病が進行している、歯のないところがある…など)を見させて頂くのに、お口のチェックをさせて頂きます。
この理由は患者様に必要な矯正治療がご提案できても、お口の状態によってはその治療ができない場合もありますし、むし歯や歯周病の進行状況によって、先にそちらの治療をさせて頂くことがあるからです。
その際に、患者様の症状やお悩みなどのお話を聞かせて頂き、矯正治療のおおまかな説明、見通しをさせて頂きます。
私たちの経験したことや、他の患者様が矯正治療をされている最中、もしくは終了して感じたこともお伝えします。
私たちが最も大切にしているポイントは以下の通りです。

・ 患者様の悩みや不安を理解して共感する
・ 治療や料金に関して専門用語を使わず、わかりやすく説明する
・ 患者様のお悩みを改善するために、どのような治療法がいいのか、そのすべてをメリット、デメリットを含めて詳しく説明し、矯正治療を強要しない
 
初診相談は、患者様が矯正治療を選んで、始められるかどうかを決定する重要な時間ではありますが、相談したからと言って必ずその治療をしなければいけない訳ではありません。
治療相談を受けてみて、その治療を受けないという選択肢もありますので、お気軽にご相談ください。

2 精密検査

診断に必要なレントゲン、歯型、お口の中のお写真を採得し、一人一人の患者様の治療計画を立案します。時間は30分程度で、歯の状態や骨格、お顔の対称性など、歯並びだけではなく、現在の顔面の状態を把握します。
精密検査の結果から、今後の治療を決定します。
患者様のご希望も治療方針に影響しますので、疑問点やご希望などは遠慮なく申し出てください。
乳歯が残っている方はへと進み、すべて永久歯の方はへと進みます。

精密検査
 

3 第1期治療(乳歯が残っている患者様)

また乳歯が残っている方(混合歯列期)が適応になります。本格的な矯正治療が始まる前の準備的な矯正治療です。

歯と顎の大きさがアンバランスで、顎が未発育な場合、歯が生えるスペースが少なく、でこぼこになります。

お子様の矯正治療は、この未発育な顎を床矯正装置により拡大したり、部分的な装置で歯を正しい位置に誘導することによって、将来大人の歯へスムーズに移行できることを目的としています。

治療期間は永久歯がすべて生えそろうまで、責任をもって見させて頂きます。

床矯正
床矯正
 
セクショナルアーチ
セクショナルアーチ

4 第2期治療(永久歯がすべて生えている患者様)

一般的なマルチブラケット治療で矯正治療を行います。

全額矯正、部分矯正はこれに含まれます。

すべて、もしくは部分的にマルチブラケット装置をつけて、本格的な矯正治療を開始します。

月1,2回のペースで調整させて頂き、治療期間は半年から3年くらいで個人差があります。

全顎矯正
全顎矯正
 
部分矯正
部分矯正

5 保定期間

マルチブラケット治療による歯の移動が終了したら、歯が元に戻ろうとするのを防ぐためのリテーナーという装置を使用します。
歯並びは誰でも年齢的に変化し続けます。なるべく保定装置を使い続けて頂くことを推奨しております。

6 定期検診(メインテナンス)

矯正治療が終了しても、むし歯や歯周病の予防や早期発見、歯並びのチェックで来院して頂きます。
矯正治療は予防の観点からも最も効果的な治療です。
矯正治療が終了したらそれで終わりではなく、ご自分の歯と体の健康を保つために、定期的にケアをしていきましょう。

定期検診(メインテナンス)

矯正治療Q&A

1 矯正治療の料金はだいたいいくらくらいでしょうか?

矯正治療は一部を除いて保険適用ではありませんので、全顎自己負担になり、各医院によって料金が異なります。

当院では精密検査が2~4万円、お子様の矯正治療が10万~30万円、部分矯正が10万~30万円、全顎矯正が40万円~70万円となっております。

使用する装置やワイヤー、それを装着する範囲、症例の難易度によって料金が異なります。

歯並びが気になる方は、一度ご相談ください。

2 料金の支払い方法は?

みなさまに安心して治療を受けて頂くために、クレジットカードによる分割支払いも可能です。もちろん現金での一括払いも可能となっております。

3 矯正治療って痛くないですか?

個人差はありますが、最初装置を装着した時に痛みが出ることがあります。

お子様の場合は数日、大人の方は1~2週間程度続くことがあります。

最初だけで痛みは慣れてしまい、気にならなくなります。

4 歯は抜かなければならないのですか? 

歯を抜かなくても並べられると判断される場合には、もちろん歯を抜くことはありません。しかし、それでは並べることができない場合、健康な歯を抜くのは抵抗があると思うのですが、数本の歯を犠牲にしてすべての歯がしっかりと噛んでいるほうが、お口の中全体に健康には有利であったり、口元の突出感が解消されるのであれば、やむをえず抜歯させて頂くことがあります。

5 矯正治療はどれくらいの期間がかかりますか?

お子様の矯正治療の場合、装置を装着している期間は半年から1,2年ですが、大人の歯に生え変わるまでが重要ですので、その時期までは経過観察が大切になります。

大人の矯正治療は、症例の難易度や装置の範囲によって異なりますが、概ね半年から3年くらいです。その後、保定期間に入ります。

画像提供: 矯正歯科ネット

マウスピース矯正のご提案

マウスピース矯正とは

マウスピースを加える女性の写真

近年、その需要が増しているマウスピース矯正は
「歯並びは治したいけど、装置が目立つのは嫌」という方や
「矯正していることを周りに知られたくない」など、
装置をつけることに抵抗がある方などに人気の透明なマウスピースを装着して、歯列を整える矯正治療です。
 
マウスピースは1日に20時間以上、装着していただき、
1週間から10日で新しいマウスピースに交換していきます。
 
当院では、数あるマウスピース矯正で最も実績があり、これまでに520万人を超える患者様が治療を受けている(2018年1月現在)マウスピース矯正を採用しています。

・ 透明なマウスピースで目立ちにくい
・ 取り外しができるので、歯磨きがしっかりできて虫歯になりにくい
・ 金属アレルギーの心配がない

・ ワイヤー矯正に比べ、違和感が少ない
・ 取り外しができるので、効果が実感しやすい
・ ホワイトニングも平行して行える

・ 装着時間を守らないと矯正期間が延びてしまう、継続が重要
・ 自由診療になる

・ 複雑な歯並びには対応が難しい
(ワイヤー矯正を平行して行う方法もある)
・ マウスピース装着中は基本的に飲食できない

治療の流れ

検診、矯正相談

歯並びに関してのお悩みを伺い、治療の流れや大まかな費用、期間などお話をさせていただきます。
虫歯や歯周病があると、矯正治療に影響があることも多いため、治療をおススメしております。

資料取り、診断

矯正治療をご検討、ご希望される方は資料取りを行います。
歯列の型取り、口腔内写真、レントゲンなど患者様の情報を集めます。

診断結果 ・ 治療計画説明

資料取りをもとに、矯正治療の治療計画をたてます。
この際に、治療期間と費用が決定します。
同意していただければ、マウスピースを発注します。

虫歯、歯周病の治療

矯正治療に先立って虫歯や歯周病の治療をさせていただきます。

マウスピース装着、開始

マウスピースが届きましたら、お持ち帰りいただき、開始していただきます。

定期チェック

2週間から1ヶ月でご来院いただき、マウスピースがしっかり使えているかなど確認させていただきます。次回のマウスピースをお渡ししていきます。

矯正終了、保定期間

歯並び、噛み合わせが改善したら矯正治療は終了です。
後戻りを防ぐために保定装置をつけて、定期健診となります。

矯正治療前後の比較

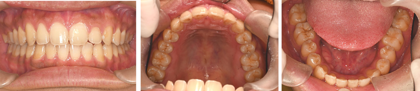
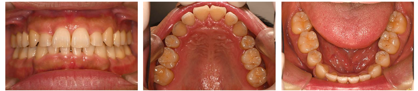
38歳男性 上下小臼歯を抜歯し、全顎矯正

治療前の写真
治療前
 
治療後の写真
治療後

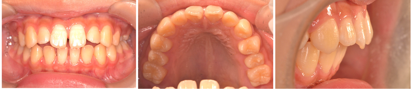
20歳女性 上下小臼歯を抜歯し、全顎矯正

治療前の写真
治療前
 
治療後の写真
治療後

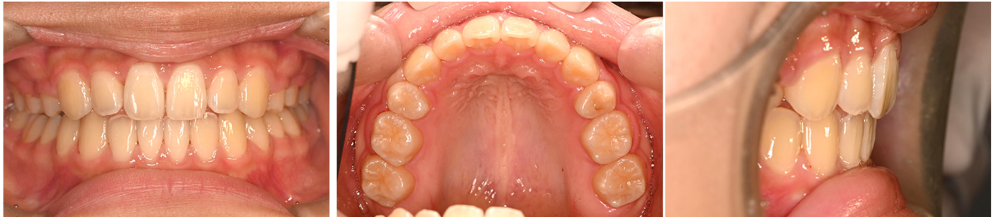
34歳女性 マウスピース矯正にて、全顎矯正

治療前の写真
治療前
 
治療後の写真
治療後

42歳女性 重度歯周病+歯列不正 歯周病治療後に全顎矯正

治療前の写真
治療前
 
治療後の写真
治療後

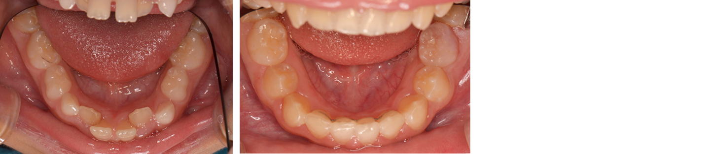
8歳女児 小児矯正にて1期治療終了 

治療前の写真
治療前
 
治療後の写真
治療後

矯正治療前後の比較2

20歳女性 上下空隙歯列(すきっ歯) 非抜歯

治療前の写真
治療前
 
治療後の写真
治療後

26歳女性 上顎空隙歯列(すきっ歯) 非抜歯

治療前の写真
治療前
 
治療後の写真
治療後

30歳女性 上顎前突(出っ歯) 上顎小臼歯を抜歯して全顎矯正

治療前の写真
治療前
 
治療後の写真
治療後

20歳女性 上顎前突(出っ歯) 非抜歯で全顎矯正

治療前の写真
治療前
 
治療後の写真
治療後

22歳女性 前歯1本出ている 部分矯正

治療前の写真
治療前
 
治療後の写真
治療後

矯正治療前後の比較3

25歳女性 上下叢生(でこぼこ) 抜歯

治療前の写真
治療前
 
治療後の写真
治療後

28歳女性 上下開咬 上顎前突(出っ歯) 抜歯してマウスピース矯正

治療前の写真
治療前
 
治療後の写真
治療後

矯正治療前後の比較4

26歳男性 空隙あり 全顎矯正

治療前の写真
治療前
 
治療後の写真
治療後

8歳女児 小児矯正にて1期治療終了 現在15歳で2期治療なし 

治療前の写真
治療前 8歳
治療後 10歳
定期検診中
15歳
治療後の写真

矯正治療前後の比較5

50歳男性 空隙あり マウスピース矯正

治療前の写真
治療前
 
治療後の写真
治療後

37歳男性 歯列不正 上下小臼歯抜歯 マウスピース矯正

治療前の写真
治療前
 
治療後の写真
治療後

若年者の矯正治療前後の比較6

17歳女性 歯列不正 上のみ抜歯

治療前の写真
治療前
 
治療後の写真
治療後

17歳男性 歯列不正 上下抜歯

治療前の写真
治療前
 
治療後の写真
治療後